"New River Dental's dentists are the best I've ever dealt with. They make you feel so comfortable!"
Book a FREE Consultation @ New River Dental Clinic.
Our gentle approach & techniques makes our treatment pain-free.
With Over 10 Years Experience.
0% payment plans available to fit your budget!
Unlock your new, confident self by getting your dream smile.
The highest standard of dentistry in North London.
At your consultation you will meet the team, get all your questions answered and get a clear indication of what is possible and the costs including monthly finance.

Straumann Neodent
by Straumann Neodent
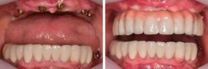
As you may imagine we can replace your existing loose dentures or decayed teeth with a brand new set of implanted teeth in a one-day procedure.
These new teeth are designed to look just how you want them, choose the colour, shape, texture and overall smile shape, Everything is bespoke.
We only use the highest quality premium implants by The Straumann Group and backed by decades of scientific research. We do not cut corners with cheap implant brands.
A full set of upper or lower fixed teeth that give you the confidence to eat, smile and laugh without ever worrying about denture glue again!
BOOK FREE CONSULTATIONBased in Palmers Green, we have successfully created thousands of new smiles using dental implants.
Hazelwood's dentists are one of the best dentists I've ever dealt with! They're nice, welcoming, and they make sure to make their customers feel comfortable while doing dentistry.
Amazing experience with Dr Hussein placing an implant, I also PRF treatment for faster healing. He was very gentle and talked me through the treatment as I am a very anxious patient. The experience was pain free!
Really great dentists who actually care about their patients. I've told all my family and friends about Hazelwood. If you're looking for a good dentist, look no further.
Very warm and family-friendly practice. All the staff are so welcoming and polite. All the dentists are competent, very thorough in their diagnosis and know what they are doing. The 5 of us attend this practice and are very happy with the practice.
Read our 5-Star rated reviews from our delighted patients. We’d love you to join them.
BOOK FREE CONSULTATIONImagine what Dental Implants could do for your smile. Join millions of other patients who have transformed their smiles with Dental Implants!
Our implant treatments save you over 35% off the UK average prices. No hidden cost and flexible payment plans make treatment affordable for all.
BOOK FREE CONSULTATION
Master's Level Implant Surgeon
GDC No: 103996Dr Monsur is a leading dental implant expert with a gentle approach to patient care. He gained his Masters and was awarded the highest award, Fellow and Diplomate member of the International Congress of Oral Implantologist.





And have undergone extensive global training.
Dental implants are replacement tooth roots that support natural-looking artificial teeth. Made of titanium, dental implants are strong and reliable. Over time, the titanium fuses with your jawbone to provide unparalleled levels of support.
Whether you've lost a single tooth or an entire arch, strategically positioned implants can help. Once in place, an implant can last a lifetime.
📍 5 Hazelwood Lane, Palmers Green, London, N13 5EZ
Discover a confident new smile and save over £1000 with our offer.